当前位置: 首页>特种水产 >淡水鱼常见寄生虫的预防与治疗 ——指环虫、车轮虫

淡水鱼常见寄生虫的预防与治疗 ——指环虫、车轮虫

2022-07-20 03:39:04

一、指环虫:

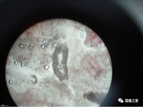
寄生于鳃部,少量寄生症状不明显,数量多时使鳃颜色变淡,并有大量粘液,贫血,头部肿大,鳃盖浮肿张开,呼吸困难,病鱼不吃食,鱼体消瘦,游动缓慢。指环虫病最简单的诊断方法是镜检,即取疑似指环虫感染的鳃片,放在载玻片上,加一滴清水,置于显微镜下观察,出现二个以上的指环虫,就可认定是指环虫病。


指环虫主要以虫卵和幼 虫传播,流行于春末、夏初,危害的品种很多,包括草鱼、鲤鱼、鲫鱼、鳊鱼等。流行的季节较长,肉眼不易诊断,治疗难度大,容易复发。

1)防治方法:

1、鱼塘放养苗种前用生石灰清塘,带水清塘,用200毫克/升至250毫克/升的浓度以杀死幼虫。

2、病鱼用20毫克/升高锰酸钾溶液药浴15~30分钟。

2)治疗方法:

一般的杀虫药阿维菌素、伊维菌素等,都没有很好的杀灭作用,在正确诊断指环虫后,用甲苯咪唑溶液(10%)每亩1米水深用100g,有很好的灭杀效果。现有的养殖户每亩用硫酸铜0.5斤、硫酸亚铁0.2斤和敌白虫10%,100g合剂也有很好的灭杀效果。杀虫后第二天用10%聚维酮碘, 1米水深用250g来消毒杀菌,并内服大蒜素和维生素C来提高鱼类的抗病能力。在防治中应注意有刺激强的药物不能使用,如二氧化氯、漂白粉等,不能大量换水,要早开增压机,防治浮头加重病情。

二、车轮虫:

当寄生车轮虫数量不多时,宿主鱼没有病症,随着车轮虫越来越多,会刺激鳃丝大量分泌粘液,引起鳃上皮增生,妨碍呼吸,鱼会浮头,食欲不振,或者到处游荡不安,甚至死亡。如果寄生于鱼皮肤上,大多在幼鱼期和苗种期,鱼种体色暗淡、没有光泽、停止吃食,消瘦,呼吸困难而死。有时也会引起小鱼“跑马”症状。

 

车轮虫病一年四季均可发生,流行于410月,尤其春末夏初、秋季为流行盛季。适宜水温为2028度。当环境不良、养殖密度大和阴雨天气的情况下,车轮虫往往大量繁殖,成为病害,甚至引起鱼类死亡。

1预防方法:

平时要养成良好的养殖习惯,建立科学的养殖管理制度。注意改良底质和水质,培养出“肥、爽、嫩、活”的水体,为鱼提供良好的生活环境,增强鱼的体质,提高抗病能力。车轮虫的流行季节,要勤用底改、强氧化剂改良水质,不要随意加注外源水,以防引入病源,定期杀虫消毒。当水体出现氨氮或者亚硝酸盐超标时,要及时采取降解措施把它们降下来。避免水质继续恶化。另外,往鱼塘投放苗种时,要用药物浸泡苗种后,再投放到鱼塘里,以防带入病源。

2治疗方法:

l、硫酸铜和硫酸亚铁和剂:全池泼酒,每立方米水用硫酸铜0.5克和硫酸亚铁0.2克。

2、每亩水深用苦楝树支叶30千克煮水全池泼酒。

3、每亩水深l米用枫杨树叶30千克煎水全池泼酒。

4、食盐:2%食盐水浸洗l5分钟以上、或3%浸洗5分钟以上。

 

                                     请扫我关注~~~

Copyright © 2023 All Rights Reserved 版权所有 平潭特种水产养殖交流组